|
|
|
|
UVOD Maligni
mezoteliom je relativno redak, ali vrlo agresivan tumor. Predstavlja
multifaktorijalno oboljenje u čijem nastanku ulogu imaju: azbest,
Simijan virus 40 i radioterapija [1]. Nije dokazano da pušenje
uzrokuje pojavu MPM, ali doprinosi njegovom nastanku. Prema podacima
iz literature njegova pojava je uzročno povezana sa ekspozicijom
azbestu kao vodećem etiološkom faktoru koji doprinosi nastanku
bolesti u više od 80% slučajeva. Javlja se nakon inhalacije
mikroskopskih azbestnih mineralnih vlakana suspendovanih u vazduhu,
posle dugog latentnog perioda od nekoliko decenija. Daleko veću
učestalost ima kod muškaraca, što se objašnjava činjenicom da se
muškarci češće bave zanimanjima koja su ,,rizična" u smislu kontakta
sa azbestom. Profesionalna ekspozicija azbestu bila je predmet
brojnih studija.Ovakva povezanost MPM sa profesijom je
najverovatnije posledica nesprovođenja mera zaštite na radu.Posebno
je zabrinjavajuća činjenica da dolazi do pojave mezotelioma kod
članova porodice ovih radnika.Bolest se češće javlja i u mestima gde
se nalaze rudnici ove materije, jer usled eksploatacije dolazi do
kontaminacije životne sredine (vazduha) i izlaganja stanovništva
azbestu (endemska područja) [2]. Kao karcinogeni materijal, azbest
je zabranjen u svim zemljama članicama Evropske unije 2005. godine,
dok jeSrbija 2011. godine donela zabranu korišćenja azbesta u svim
proizvodima, a propisan je i Pravilnik o postupanju sa otpadom koji
sadrži azbest [3].
PRIKAZ SLUČAJA
Pacijent muškog pola starosti 64 godine. Mašin-bravar u penziji.
Pušač, preko 40 godina, po 20 cigareta dnevno, retko konzumira
alkohol. U ličnoj anamnezi prethodno zdrav, bez drugih
komorbiditeta. Pacijent navodi da je prve tegobe osetio početkom
juna 2018. god. Glavne tegobe su otežano disanje, osećaj gušenja i
zamor na manji napor. Kašalj je prisutan nekoliko meseci pre toga,
od marta 2018. Povišen krvni pritisak dve nedelje unazad TA 160/100
mmHg, pre toga normalan krvni pritisak. Sagledan od strane
interniste, dobio antihipertenzivnu terapiju i dalje upućen
pneumofiziologu. Auskultatorno nad plućima levo potpunonečujno
disanje, bez propratnih zvukova, a nalaz nad ostalim delovima pluća
je normalan disajni šum. Saturacija kiseonika u krvi je 97%.

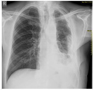
Slika 1. Inicijalna radiografija grudnog koša
Radiografija grudnog koša (Slika1) ukazuje na hidropneumotoraks
levo, sa infraklavikularno prisutnim hidroaeričnim nivoom. Srčana
senka potisnuta put desno. Sve laboratorijske i biohemijske analize
su u referentnim vrednostima. Nakon obavljenih osnovnih
laboratorijskih i dijagnostičkih pretraga u Zdravstvenom Centru
Knjaževac, pacijent je dalje upućen SB za Plućne bolesti Ozren
26.06.2018. godine. Dalje biva preveden na Kliniku za grudnu
hirurgiju UKC Niš dva dana kasnije, radi daljeg lečenja, gde je u
narednom periodu u više navrata hospitalizovan. Pri prvoj
hospitalizaciji na ovoj klinici inicijalno je načinjena drenaža
levog pleuralnog prostora, pri tom evakuisano oko 3000 ml tečnog
sadržaja. Citološka i bakteriološka analize nisu ukazivale na
prisustvo tumorskih ćelija, kao ni infekcije.
Prilikom sledeće hospitalizacije operisan je 24.07.2018. godine,
urađena je videoasistirana torakoskopija (VATS), parcijalna
dekortikacija pleure i biopsija, materijal poslat na patohistološki
pregled. U patohistološkom nalazu od 11.09.2018. godine,
dijagnostifikovan je maligni mezoteliom pleure, epiteloidna
varijanta. Na kontrolnoj PA radiografiji grudnog koša od 16.09.2018.
godine (Slika 2) Leva hemidijafragma i levi KF sinus zasenjeni
senkom laterouzlaznog toka-prisutna pleuralna efuzija. Ostali deo
plućnog parenhima levo smanjene transparencije.

Slika 2. Kontrolna radiografija grudnog koša
U zaključku MSCT pluća od 24.09.2018. godine: u pleuralnoj
duplji, levo prisutna heterodenzna promena difuzno sa gušćim tečnim
sadržajem, sa kompresivnom atelektazom i mekotkivnom komponentom,
opisana promena u prvom redu odgovara neoplastičnoj promeni sa
empijemom. U ostalom plućnom parenhimu su prisutne mikronodularne
promene i medijastinalna limfadenomegalija. Na koštanim strukturama,
osim degenerativnih, nema drugih MSCT promena.
Po odluci Konzilijuma za pulmološku onkologiju od 25.09.2018. godine
planirano lečenje prvom linijom hemioterapije po režimu
pemetreksedcisplatin. U međuvremenu dolazi do daljeg napredovanja
bolesti. Prisutni su slab apetit i progresivni gubitak težine.
Suspektna je pojava centralne simptomatologije u vidu otežane
komunikativnosti, povremene dezorjentisanosti u vremenu,
nestabilnosti, periodičnog gubitka kontrole sfinktera (povremeno
umokravanje). Bolovi stalno prisutni. Od analgetske terapije
primenjeni Ibuprofen tbl 600mg 2x1, Tramadol tbl 50mg 2-3x1, ali
zbog nedovoljnog analgetskog efekta ubrzo zatim započeta upotreba
Fentaniltransdermalnog flastera 25 mikrograma/h. Pacijent je
hospitalizovan na Klinici za onkologiju UKC Niš 15.10.2018. godine.
U laboratorijskim i biohemijskim analizama registruju se azotemija i
hiperkalcemija (urea 16,4 mmol/L, creat 179,4 umol/L, Ca 4,26
mmol/L). Zbog kliničkog pogoršanja, slabijeg performans statusa nije
indikovana primena hemioterapije. Usled povišenih vrednosti
serumskog kalcijuma donešena odluka o primeni bifosfonata i urgentno
započeta terapija. Primenjena terapija Zolendronska kiselina amp 4mg
protekla je uredno. Međutim, dolazi do produbljivanja centralne
simptomatologije i pacijent egzitira pre prvog ciklusa planirane
sistemske terapije.
Zbog specifične prirode i raznovrsnosti poslova kojim se bavio
ekspozicija azbestu je verovatno bila prisutna u više navrata u toku
života. Ali najverovatnije kritično izlaganje azbestu moglo je da se
dogodi 30 do 35 godina ranije.
DISKUSIJA
Maligni mezoteliom može imati različitu lokalizaciju, nastaje od
mezotelnih ćelija seroznih membrana koje oblažu telesne šupljine i
organe (visceralna ili parijetalna pleura, peritoneum, perikard ili
najređe ovojnica drugih organa npr tunike vaginalis testisa).
Najčešće dijagnostifikovan je maligni mezoteliom pleureu preko 70%
slučajeva. Tumor se javlja nakon veoma dugog latentnog perioda od
nekoliko decenija. Vreme od ekspozicjie azbestu do pojave tumora je
najmanje 25, a po nekim autorima i duže od 50 godina. Zbog dugog
latentnog perioda MPM se najčešće dijagnostifikuje kod pacijenata
starijih od 60 godina. Među bolesnicima kod kojih je potvrđeno
postojanje rizičnog zanimanja, najčešće su bili mašin-bravari, kao i
naš pacijent [1,4].
Azbest obuhvata šest prirodnih silikatnih minerala. Sačinjen je od
mekanih, tankih, svilenkastih vlaknastih kristala. Postoje dva tipa
azbestnih vlakana: amfibolni (najčešće korišćen krocidolit ili
plavi; amozit ili smeđi azbest; čija su vlakna duža, tanka i
prava-nalik na iglice) i serpentinski (krizotil ili beli azbest;
čija vlakna imaju serpentinski oblik) [5]. Azbest je bio u širokoj
upotrebi u celom svetu, posebno u drugoj polovini prošlog veka. Zbog
svojih povoljnih fizičkih osobina imao je široku primenu: dobar je
provodnik toplote, ne gori i ne ugljeniše se i dugotrajan je. Sve
forme azbestnih vlakana mogu biti odgovorna za pojavu oboljenja.
Neke forme azbestnih vlakana su patogenija od drugih. Vlakna koja su
tanja i duža imaju najveći karcinogeni potencijal. Sve vrste azbesta
su veoma stabilne, tokom vremena ne podležu degradaciji spontano,
međutim, njegovom obradom ili oštećenjem stvara se azbestna prašina.
Ova prašina se lako inhalira i dolazi do alvelernih sakulusa. Nije
dovoljno razjašnjeno kojim putem azbestna vlakna dospevaju do pleure
i mezotelnih ćelija. Ali u dugom vremenskom periodu ova vlakna
dovode do hronične inflamacije, fibroziranja i maligne alteracije.
Onkogeneza nije dovoljno poznata. MPM najverovatnije nastaje kao
rezultat inaktivacije tumor supresornih gena. Najčešći je gubitak
funkcije tumor supresornog gena CDKN2A, inaktivacija NF2 i mutacija
ili delecija BAP-1 tumor supresornog gena (protein-1 povezan sa
BRCA1) [6]. Svi ovi faktori zajedno utiču na nastanak MPM.
Simptomi mezotelioma variraju u zavisnosti od lokalizacije i
stadijuma bolesti. Nakon dugog latentnog perioda početni simptomi su
najčešće nespecifični i blagi. Kod mezotelioma pleure prisutne su
tegobe sa disanjem, progresivna dispneja, i brzo zamaranje i na
najmanji napor. U ovom prikazu, kod našeg pacijenta, svi navedeni
simptomi su bili prisutni. Kašalj je suv i umara bolesnika, a može
da dođe do pojave iskašljavanja krvi. Naš pacijent nije imao pojavu
iskašljavanja krvi (hemoptizije), ali je kašalj bio prisutan. Neki
od simptoma mogu biti posledica pleuralne efuzije. Povišen krvni
pritisak nije opisan kao simptom MPM, ali je kod našeg pacijenta
verovatno posledica masivnog levostranog pleuralnog izliva.
Pleuralni izlivi mogu biti masivni i često su rekurentni. U fazi
povlačenja izliva dolazi do prolaznog olakšanja, a zatim se javlja
bol. Bol u grudnom košu je vodeći simptom MPM. Smatra se da se
javlja zbog urastanja tumora u okolne strukture. Bol u grudnom košu
jakog intenziteta bio je prisutan i kod pacijenta u našem prikazu.
Neurološki simptomi kod prikazanog pacijenta su moguća posledica
diseminacije bolesti u CNS.
Neke od opštih simptoma kao što su malaksalost, opšta slabost, umor,
gubitak apetita, gubitak težine imao je i naš pacijent tokom
kasnijeg razvoja bolesti. Nekada se javljaju temperatura, groznica,
noćno preznojavanje. Uglavnom su to simptomi uznapredovale bolesti.
Standardna radiografija grudnog koša je dijagnostička metoda prve
linije, iako nije dovoljno senzitivna i specifična. Čest nalaz na
radiografiji je prisustvo jednostranog pleuralnog izliva. Citološka
analiza punktiranog pleuralnog izliva ima senzitivnost od 13 do čak
75%, ali može biti negativna ili lažno negativna. U opisanog
pacijenta je bila negativna. CT grudnog koša je nezaobilazna
dijagnostička procedura, koja pruža dragocene podatke, o izgledu
pleure (zadebljnje, kalcifikacije), karakteristikama izliva (ako je
prisutan) i stanju medijastinalnih limfnih nodusa i organa.
Perkutana biopsija je terapijski i dijagnosticki postpupak MPM.
Videoasistirana torakoskopija (VATS) je najpouzdanija metoda kojom
se obezbeđuje adekvatan uzorak za morfološku i imunohistohemijsku
analizu.
Makroskopski ovi tumori daju izgled difuznog pleuralnog zadebljanja.
Patohistološka dijagnostika je zlatni standard. Histološki su
podeljeni na subtipove: epiteloidni, sarkomatoidni i bifazični, koji
je sastavljen iz mešavine ova dva tipa [1,4]. Kod našeg pacijenta
postavljena je dijagnoza epiteloidnog tipa MPM, koji ima najveću
učestalost od oko 60%. Bolje je prognoze, bolje reaguje na terapiju
i ima duže prosečno preživljavanje. Iako postoje tri histološka
subtipa MPM, SZO je 2021. godine dala složenu i sveobuhvatnu podelu
Tumora pleure i perikardijuma [7,8]. Uzevši u obzir histološke
karakteristike, prognozu, proširenost, osobine BAP1 tumor
supresornog gena imunohistohemije, homozigotnu deleciju CDKN2A i
drugo.
Terapijski pristup je zasnovan na multimodalnom pristupu,
kombinacijom hirurgije, hemioterapije, radioterapije i
imunoterapije. Iako je poslednjih godina postignut značajan napredak
u lečenju, terapijske mogućnosti su ograničene. Trenutni terapijski
modaliteti produžavaju preživljavanje, ali ne daju kompletno
izlečenje.
Na operabilnost utiče veličina tumorske mase i opšte stanje
bolesnika. Operabilni su stadijumi I do IIIa, kada je tumor još uvek
lokalizovan, ukoliko se radi o epitelioidnom tipu MPM. U kasnijim
stadijumima sa prisutnim metastazama hirurgija ima palijativnu
korist.
Hemoterapija je najkorišćeniji modalitet lečenja mezotelioma,
primenjuje se u svim stadijumima. Pemetreksed i cisplatin čine prvu
liniju hemioterapije. Neki pacijenti mogu imati bolji odgovor na
drugu preporučenu kombinaciju pemetreksed i karboplatin, ili
kombinaciju cisplatin i gemcitabin [9].
Radioterapijase najčešče primenjivala palijativno za olakšanje
simptoma kod pacijenata sa kasnijim stadijumima, ali tehnički
napredak omogućio je korak napred u lečenju MPM [10].
Poslednjih godina primenjuje se imunoterapija monoklonskim
antitelima. Nivolumab u kombinaciji sa ipilimumabom je indikovan kao
prva linija za lečenje pacijenata sa neresektabilnim MPM. Lečenje
traje do progresije bolesti, neprihvatljive toksičnosti ili do 24
meseca. Ovako lečeni pacijenti imali su značajno poboljšanje [11].
Maligni mezoteliom pleure je jako agresivan tumor. Bolest je
neizlečiva u poznijim stadijumima. Prognoza bolesti je uvek jako
loša. Očekivano vreme preživljavanja je manje od 18 meseci od pojave
prvih simptoma, dok je vreme preživljavanja za uznapredovalu bolest,
bez terapije 6-8 meseci.
Prema istraživanju sprovedenom 2019. godine u endemskom području
Turske [2], rezultati postoperativnog preživljavanja pacijenata
pokazali su da je srednji period preživljavanja bio 19,6 meseci. Na
uzorku od 13 pacijenata, najduže preživljavanje od 32 meseca bio je
kod pacijenta koji je nakon pleuralne dekortikacije podvrgnut
postoperativnoj hipertermičnoj hemioterapiji.
ZAKLJUČAK
Postoje podaci u anamnezi na koje treba obratiti pažnju: pol,
godine (stariji od 60 godina, zbog dugog latentnog perioda),
zanimanje, pušači. Opisan slučaj prikazuje tipičnog pacijenta sa
MPM, koji je u početku imao tipične nespecifične simptome, u vidu
kašlja, dispneje, zamaranja i karakterističan jednostrani pleuralni
izliv, a kasnije bolove jakog intenziteta u predelu grudnog koša i
brzu progresiju bolesti. Bolest se najčešće otkriva u odmaklom
stadijumu. Anamnestički podaci o mogućem kontaktu sa azbestom u toku
života mogu pobuditi sumnju, doprineti nešto ranijoj dijagnozi, kada
su terapijske mogućnosti nešto veće, a koje mogu za izvesno vreme
produžiti život obolelima. Najvažnija je primarna prevencija,
sprečiti izlaganje azbestu ili na bezbedan način ukloniti azbestni
materijal. MPM je retka bolest, ali treba misliti o njoj u
diferencijalnoj dijagnozi, jer je ovo vrlo agresivan tumor.
LITERATURA
- Uroš P. et al. Kliničko–patološke karakteristike malignog
pleuralnog mezotelioma - Naše petogodišnje iskustvo. MD-Medical
Data. 2019;11(1):019-22.
- Kermenli Tayfun, Azar Cebrail. Rezultati postoperativnog
preživljavanja pacijenata sa pleuralnim malignim mezoteliomom
stadijuma I-II u endemskom području. Sanamed. 2020;15(2):139-44.
- Pravilnik o otpadu koji sadrži azbest Sl.glasnik RS, br
75/2010
https://www.ekologija.gov.rs/sites/default/files/old-documents/Otpad/Pravilnici/PRAVILNIKopostupanjusaotpadomkojisadazbest.pdf
[homepage on the Internet]
- Martina M et al. Novosti u dijagnostici malignog mezotelioma
pleure. Medicina fluminensis. 2021;57(3):254-59.
- Kanceljak-Macan B. Imunological aspects of asbestos-related
diseases Arh Hig Rada Toksikol 2009;60:45-50.
- Anna-Mariya Kukuyan et al. Inactivation of Bap1 Cooperates
with Losses od Nf2 and Cdkn2a to Drive the Development of
Pleural malignant Mesothelioma in Conditional Mouse Models
PubMedCentral 2019 May 31; Author Manuscript
2019;79(16):4113-4123.
- Jennifer S, Sanja D, Francoise G-S, Richard A, Kelly B,
Andrew H.The 2021 WHO Classification of Tumors of the Pleura:
Advances Since the 2015 Classification. Jurnal of Thoracic
Onkology. 2022;17(5):608-22.
- Valerie R, Kari C, Hedy K, Anna N, Harvey P, David R et al.
The IASLC Mesothelioma Staging Project: Proposals for the M
Descriptors and for Revision of the TNM Stage Groupings in the
Forthcoming (Eighth) Edition of the TNM Classification for
Mesothelioma. Jurnal of Thoracic Onkology. 2016;11(12):2112-19.
- David s. Ettinger et al. Malignant Pleural Mesothelioma PMC
2023 May 16; Author Manuscript 2016;14(7):825-836.
- Tatjana A, Aleksandar S, Marina N. Uloga radioterapije u
lečenju malignog mezotelioma pleure-mogućnosti i kontroverze.
Srpski arhiv za celokupno lekarstvo.Časopis srpskog lekarskog
društva 2024;152(1-2):92-96.
-
https://www.alims.gov.rs/doc_file/lekovi/smpc/515-01-00472-21-002.pdf
[homepage on the Internet]
- Michele C, Shreya K, Ann C, Aubrey M, Anil W, David W et al.
Consensus Report of the 2015 Weinman International Conference on
Mesothelioma. Journal of Thoracic Oncology. 2016;11(8):1246-62.
- https://www.asbestos.com/[homepage on the Internet]
- Mirjana A, Jovica J.Medicina rada, Univerzitet u Nišu-
Medicinski fakultet, 2009.
- Paul B, David R. IASLC Thoracic Oncology. 2nd ed; 2018.
- Gary A. Ulaner. Pleura on FDG PET/CT. Fundamentals of
Oncologic PET/CT. 2019.
- The Surveillance, Epidemiology, and End Results (SEER)
Program Mesothelioma - Cancer Statistics Review. Available from:
https://seer.cancer.gov/csr/1975_2016/results_merged/sect_17_mesothelioma.pdf
- Journal of Thoracic Oncology, 2016 Malignant Pleural
Mesothelioma In Specialty Imaging: Thoracic Neoplasms, 2016.
|
|
|
|