| |
|
|
UVOD
McCune-Albright-ov sindrom (MAS) je kongenitalno, nenasledno
benigno oboljenje koje je posledica somatske aktivišuće mutacije,
koja se dešava po formiranju zigota u genu koji kodira alfa
subjedinicu stimulatornog G proteina (Gs) na hromozomu 20q13 i
karakteriše se trijasom: osteofibroznom displazijom, kožnim
pigmentacijama, kao „bela kafa”, i/ili raznim vrstama
endokrinopatija [1, 2, 3].
PRIKAZ SLUČAJA
Pacijentkinja starosti 46 godina javila se polovinom juna 2014.
na scintigrafiju skeleta sa uputnom dijagnozom osteolitičnih promena
na III, IV i V rebru desnog hemitoraksa. Osteolitične promene su
otkrivene na radiografiji pluća, koja je rađena u cilju dobijanja
lekarskog uverenja za zaposlenje na mestu trgovca. Pacijentkinja je
bila uplašena. Plače pri davanju anamnestičkih podataka.
Negira tegobe. Subjektivno se dobro oseća. Na ciljana pitanja
odgovara da od kad zna za sebe, ima povremeno bolove u kostima
grudnog koša i da je pre više godina, kada je počela da nosi
naočare, primetila da ima asimetično ispupčeniju levu veđu.
U ličnoj anamnezi navodi da se unazad više godina leči od arterijske
hipertenzije. Kontrolisana je u Službi za nuklearnu medicinu
Zdravstvenog centra Zaječar od 2000. zbog regionalne autonomije
levog režnja. Lečena je sa 12m Ci radiojoda 16. 10. 2007. (tabela
1). Operisana je od slepog creva, ciste levog jajnika i kamena u
žučnoj kesi. Prvu menstruaciju dobila je u 15. godini, ciklusi
uredni. Imala je jedan porođaj carskim rezom u 32. godini života.
Rađena joj je mamografija 2011. na kojoj je bio uredan nalaz.
Redovno ide na ginekološke preglede, nalazi su uredni.
Pri pregledu je bila klinički eumetabolična, sa palpabilnom
tiroideom, telesne visine 160 cm, telesne mase 66 kg. Inspekcijom se
uočava laka asimetrija čeone kosti sa naglašenijim lukom obrve leve
polovine kosti. Laboratorijski nalazi su u granicama normale, sem
lake hiperholesterolemije (tabela 2).
Tri sata nakon intravenske aplikacije 15m Ci 99mTc-DPD urađena je
scintigrafija celog skeleta, a potom ciljani scintigrami delova
skeleta na kojima je uočena patološka distribucija radiofarmaka
(slika 1).
Tabela 1. Tiroidni status pacijentkinje 2000-2007. kada nije
postojala sumnja na MAS.
Table 1.Thyroid status of the patient from 2000 to 2007. when there
was no suspicion of MAS.
| 2000. godina |
2007. godina |
2007. godina |
| Anamnestički: izostanak menstruacije |
|
|
Klinički: hipermetabolična, puls 100/min,
sa tremorom šaka i vlažnom i toplom kožom, i asimetrično
uvećanim i čvrstim levim režnjem tiroidee, palpatorno; TT
68kg, TV 160 cm;
oči bez osobitosti. |
|
|
Biohemijski: TSH = 0,02mIU/L;
FT4 = 20pmol/L;
FT3 = 11,4pmol/L |
Biohemijski: TSH =
0,01mIU/L; FT4 = 29,3pmol/L; FT3 = 18,8 pmol/L |
Biohemijski: TSH = 0,01m
IU/L; FT4 = 24,66pmol/L; FT3 = 8,41pmol/L |
Pertehnetatni sken:
Supresija vezivanja u desnom režnju; hiperfunkcijski nodus u
levom lobusu.
 |
Pertehnetatni sken:
Supresija vezivanja u desnom režnju; hiperfunkcijski nodus u
levom lobusu.
 |
Pertehnetatni sken:
Supresija vezivanja u desnom režnju; hiperfunkcijski nodus u
levom lobusu.
 |
| |
Ehosonografski: Desni režanj
tiroidee normalnih dimenzija i ehostrukture. U levom režnju
ovalan, mešovit, solidno-cistični nodus, promera oko
28x19x45mm.
|
|
Terapija: ništa za sada za
tiroideu; *
*poslednja menstruacija 22. 8. 2000. Dokazana trudnoća.
Porođaj carskim rezom, maja 2001. |
Terapija: Tiastat tbl. 2x1
do odluke o konačnoj terapiji.
Ostala terapija:
Monopril tbl. 0,01, 1x1
Presolol tbl. 0,05, ½+0+1/4
Lečena 18 meseci tirosupresivom. |
Terapija: 131I - 12 mCi,
oralno;*
*eutiroidna do danas. |
Tabela 2.Vrednosti biohemijskih parametara kod pacijentkinje pre
izvođenja scintigrafije kostiju juna 2014.
Table 2. Values of biochemical parameters in patients before
performing bone scintigraphy jun 2014th.
Serumske analize (jedinice mere)
Serum Analysis (units) |
Vrednost
Value |
Referentne vrednosti
Refference range
|
| TSH (mIU/L) |
2,26 |
0,4-3,5 |
| FT4 (pmol/L) |
11,8 |
7,8-14,3 |
| SE (mm) |
20 |
|
| ALP (IU/L) |
100 |
< 110 |
| Kreatinin/Creatinine (µmol/L) |
69 |
44,2-140 |
| Holesterol/ Cholesterol (mmol/L) |
6,2 |
< 5,2 |
| Trigliceridi/Trigycerides (mmol/L) |
1,3 |
<2,0 |
| AST (IU/L) |
12 |
<40 |
| ALT (IU/L) |
14 |
<40 |
| CK (IU/L) |
127 |
<200 |
| LDH (IU/L) |
431 |
<450 |
| CRP (mg/L) |
0,9 |
<5 |
| CEA (ng/ml) |
3.3 |
<5 |
| CA 125 (IU/L) |
9 |
<35 |
| CA 19,9 (IU/L) |
5 |
<35,4 |
| CA 15,3 (IU/L) |
8 |
<31,3 |
Slika 1. Scintigrafija celog tela sa 99mTc-DPD
(a), i ciljani scintigrami toraksa u dva pravca (b), i lobanje u
četiri pravca (c), juna 2014. RPO – desni zadnji polukosi; RAO –
desni prednji polukosi; ANT – prednji; LL – levi bočni; POST –
zadnji; RL – desni bočni.
Image 1. Whole-body scintigraphy with 99mTc-DPD (a), and targeted
thorax scintigrams in two directions (b), and the skull in four
directions (c), june 2014th. RPO – right posterior oblique; RAO –
right anterior oblique ; ANT – frontal; LL – left lateral; POST –
posterior; RL – right lateral.


Nalaz scintigrafije skeleta ukazivao je na nepravilno polje
patološke hiperakumulacije u predelu frontalne kosti i, nešto
slabijeg inteziteta, u regiji temporookcipitalnog spoja, s leve
strane; narušena arhitektonika prvih nekoliko rebara desnog
hemitoraksa sa lako pojačanom akumulacijom mestimično duž rebara,
intenzivnije u vertebralnim i sternalnim okrajcima, bez drugih mesta
patološke hiperakumulacije. Zaključuje se da patološka distribucija
radiofarmaka nije karakteristična za malignu bolest i indikuje se
radiografija lobanje.
Na radiografiji lobanje, urađenoj 16. 6. 2014, opisano je veće polje
osteolize u frontalnoj kosti levo. Radiolog nije mogao ni na
prethodnom radiografskom nalazu toraksa, niti na nalazu radiografije
lobanje da se izjasni o prirodi i poreklu promena na kostima, pa se
pacijentkinja upućuje na magnetnu rezonancu lobanje.
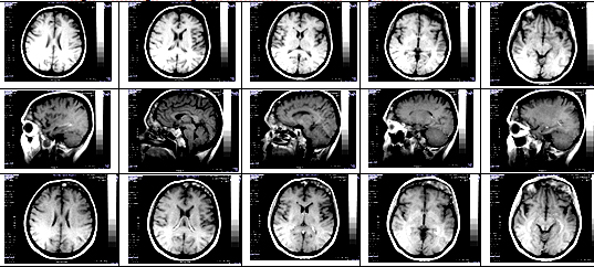
Na magnetnoj rezonanci lobanje, urađenoj 18. 6. 2014, levo prisutna
formacija koja zahvata frontalnu, sfenoidalnu i deo temporalne
kosti, sve do klivusa, najveće širine 30mm. Nakon aplikacije
kontrastnog sredstva dolazi do intenzivog prebojavanja. Nalaz
najviše odgovara fibroznoj displaziji, ali je neophodna
verifikacija. U zaključku: opisana ekspanzivna promena u predelu
frontalne, sfenoidalne i temporalne kosti levo, koja diferencijalno
dijagnostički odgovara fibroznoj displaziji (slika 2).
Po dobijanju nalaza sa magnetne rezonance, naknadnom anamnezom,
dobija se podatak da su promene na rebrima viđene i 2006, pri
radiografiji grudnog koša rađenoj zbog upale pluća, ali nisu dalje
ispitivane. Takođe je pacijentkinja pitana da li ima neke promene po
koži, kada pokazuje na koži leđa dve veće nepravilne fleke, jednu
levo skapularno, a drugu desno subskapularno, boje bele kafe (café
au lait spots), za koje kaže da ih ima oduvek.
Zaključuje se da prisutna trijada: osteofibrozna displazija,
toksični adenom tiroidee i café au lait pigmentne promene na koži
potvrđuju djagnozu MAS. Planira se biopsija frontalne kosti i
patohistološka potvrda dijagnoze.
Pacijentkinji se izdaje uverenje od strane Službe medicine rada kao
sposobnoj za obavljanje posla trgovca sa dijagnozama: E05,1
Thyreotoxicosis nodosa singularis, Status post Th cum 131-I aa VII,
Q78,1 Dysplasia fibrosa polyosteosa, Syndroma McCune-Albright i I10
Hypertensio essentialis, uz preporuku za dalje praćenje endokrinog i
koštanog statusa.
Slika 2. Nalaz magnetne rezonance lobanje kod
pacijentkinje sa MAS juna 2014.
Image 2. Findings of magnetic resonance of the skull in a patient
with MAS June 2014th.

DISKUSIJA I ZAKLJUČAK
Osteoibrozna displazija (OFD) je retko oboljenje nepoznate
etiologije u kom fibrozno tkivo postepeno zamenjuje normalnu kost,
usled čega dolazi do savijanja i prekomernog rasta kostiju. Prema
kliničkim manifestacijama, OFD se deli u tri grupe: (1)
monoostotsku, gde je zahvaćena samo jedna kost, i koja je najčešća
(70% slučajeva); (2) poliostosku, gde je zahvaćeno više kostiju, i
koja je ređa (30% slučajeva); i (3) McCune-Albright-ov syndrome
(MAS), koji je retka varijanta mono ili poliostotske OFD, udružene
sa kožnim pigmentacijama kao „bela kafa” (cafe-au-lait spots) i
hiperfunkcijskim endokrinopatijama [1, 2, 3].
McCune-Albright-ov sindrom, kao retka varijanta OFD, je
kongenitalno, nenasledno benigno oboljenje koje je posledica
somatske aktivišuće mutacije, koja se dešava po formiranju zigota u
genu koji kodira alfa subjedinicu stimulatornog G proteina (Gs) na
hromozomu 20q13 [1].
S obzirom na to da osobe sa MAS imaju mozaicizam somatske aktivišuće
mutacije alfa subjedinice Gs protiena, individualne kliničke
prezentacije će zavisiti od distribucije ćelija pogođenih mutacijom
[4].
Endokrine manifestacije MAS su OFD, renalni gubitak fosfata i kožne
hiperpigmentovane fleke, a najčešće endokrinopatije su: prerani
pubertet, hipertiroidizam, akromegalija, hiperprolaktinemija i
hiperkortizolizam [5, 6].
MAS pogađa podjednako oba pola, može se manifestovati počev od ranog
detinjstva, bolovima u kostima, deformitetima i ponovljenim
frakturama aficiranih kostiju, znacima endokrinopatija, ali može
biti i asimptomatski [1].
S obzirom na to da je klinička slika MAS uslovljena mozaicizmom,
praktično svaka ćelija, tkivo i organ u telu mogu biti pogođeni u
različitom stepenu, uključujući hepatobilijarnu disfunkciju i bolest
srca, koje mogu biti značajan faktor rizika za ranu smrt [4].
Dijagnoza OFD se postavlja na osnovu kliničke slike i potvrđuje
radiološkim metodama i eventualno patohistološkom potvrdom. Terapija
uključuje bisfosfonate, u cilju smanjenja bolova i popravljanja
litičkih lezija, ali njihova efikasnost još uvek nije potpuno
potvrđena. Kod nekih pacijenata, suplementacija kalcijuma, vitamina
D i fosfora može biti od koristi. U težim slučajevima primenjuju se
različite ortopedsko-hirurške procedure da bi se sprečili i lečili
deformiteti i prelomi. Dijagnoza endokrinopatije postavlja se na
osnovu kliničke slike i biohemijske potvrde, a leči u zavisnosti od
vrste [1].
U radu je prikazan slučaj pacijentkinje u petoj deceniji života kod
koje su otkrivene osteolitične promene na rebrima pri zdravstvenom
pregledu za dobijanje lekarskog uverenja, a potom su iz lične
anmneze dobijeni podaci koji su ukazivali na postojanje trijade
karakteristične za MAS, u ovom slučaju ranije lečeni autonomni
hipertiroidizam, kožne pigmentacije kao „bela kafa” i poliostotske
litične promene, manifestovane kao asimetrija lica i ponavljani
bolovi grudnog koša, ali bez preloma. Pacijenti sa ovim sindromom
zahtevaju doživotno praćenje, posebno endokrinog i koštanog statusa.
LITERATURA
1. Chapurlat RD, Orcel P. Fibrous dysplasia of bone and
McCune-Albright syndrome. Best Pract Res Clin Rheumatol. 2008; 22:
55-69.
2. Albright F, Butler AM, Hampton AO, Smith PH. Syndrome
characterized by osteitis fibrosa disseminate, areas of pigmentation
and endocrine dysfunction with precocious puberty in females. Report
of five cases. N Engl J Med. 1937; 216: 727-46.
3. Bhansali A, Sharma BS, Sreenivasulu P, Singh P, Vashisth RK, Dash
RJ. Acromegaly with fibrous dysplasia: McCune-Albright Syndrome.
Clinical studies in cases and brief review of literature. Endocr J.
2003; 50: 793-9.
4. Völkl TM, Dörr HG. McCune-Albright syndrome: clinical picture and
natural history in children and adolescents. J Pediatr Endocrinol
Metab 2006; 19 Suppl 2: 551-9.
5. Bhadada SK, Bhansali A, Das S, Singh R, Sen R, Agarwal A, Mittal
BR, Nahar U, Dutta P, Khandelwal N. Fibrous dysplasia &
McCune-Albright syndrome: An experience from a tertiary care centre
in north India. Indian J Med Res 2011; 133 (5): 504-509.
6. Shetty S, RT, Shanthly N, Paul TV. Toxic Thyroid Adenoma in
McCune-Albright Syndrome.J Clin Diagn Res 2014; 8 (2): 281-282. |
|
|
|