Glasilo Podružnice Srpskog lekarskog društva Zaječar

Godina 2006     Volumen 31     Suppl 1     
  [ Home ] [ Program ] Radovi ] Indeks autora ] [ Mapa ]  
                 
 

XXV Timočki medicinski dani :::
Selektovani radovi

  <<< ] >>> ]  
  6. Strano telo u bronhu kao uzrok recidivirajuće bronhopneumonije - prikaz slučaja
(A foreign body inside bronchi as a sourse of relapsing bronchopneumonia
- a short review of such case)
Goran Stanković(1), Vesna Ćosić(2), Zorica Omanović(3)
ZDRAVSTVENI CENTAR ZAJEČAR, (1)PNEUMOFTIZIOLOŠKA SLUŽBA, (2)RADIOLOŠKA SLUŽBA, (3)SLUŽBA ZA PATOLOGIJU

Sažetak: Učestalost aspiracije stranih tela u disajnim putevima je retka. Jedna od komplikacija hroničnog stranog tela u disajnim putevima je bronhopneumonija. Strana tela se ekstrahuju u bronhološkim odsecima pulmoloških ustanova i predstavljaju jedan od najtežih zadataka u bronhologiji a često uslovljavaju i torakohirurški zahvat.
Prikazan je bolesnik J.S. u dobi od 53 godine sa recidivirajućom desnostranom bronhopneumonijom. Na prijemu dobrog opšteg stanja, slabije osteomuskularne građe, subfebrilan.
U laboratorijskim analizama prisutna ubrzana sedimentacija i umerena leukocitoza a na PA radiografiji bronhopneumonična senka desno parakardijalno. CT grudnog koša pokazuje kalcifikat u predelu desnog hilusa i destrukciju desnog donjeg režnja. Učinjenom fiberbronhoskopijom uočena hiperemija u završnom delu intermedijernog bronha a bronh za bazalni buket opturiran nekrotičnom tumorskom masom. Histopatološkim pregledom biopsija dobijeno je nekrotično tkivo a bakteriološkim pregledom iz aspirata bronha izolovani su Streptococus pneumoniae i Pseudomonas species. Pod sumnjom na strano telo u desnom bronhijalnom hemisistemu bolesnik je upućen u višu medicinsku ustanovu gde je u 2 navrata bezuspešno pokušana ekstrakcija stranog tela fiberbronhoskopom te je učinjena desna donja lobektomija zbog hroničnim zapaljenjem izmenjenog režnja i ekstirpacija stranog tela (pileća kost).
Kod recidivirajućih bronhopneumonija u algoritam ispitivanja treba uključiti i fiberbronhoskopiju a ekstrakciju verifikovanih stranih tela prepustiti najiskusnijim bronholozima.
Ključne reči: strano telo u bronhu, bronhopneumonija, fiberbronhoskopija

Summary: The frequency of a foreign body aspiration into respiratory tract is rare. One of the complications of a chronic presence of a foreign body inside respiratory tract is bronchopneumonia.
The extractions of foreign bodies are done in broncho-departments of pulmonary institutions and present one of the most difficult tasks in the field of bronchology and often require surgical operation.
Here is presented the case of a patient J.S., aged 53, with relapsing right-side bronchopneumonia. When he arrived he was generally in good health condition, with a weaker ostemuscular build, subfebrile.
Laboratory analyses showed the presence of speedy sedimentation and of mild leukocytosis and at PA radiography there was bronchopneumonia shadow on the right side paracardially. CT of the chest showed calcification in the area of the right-side hilus and the destruction of the lower right-side slice. Having done fiberbronchoscopy hiperemia was noticed in the final part of intermediale bronchus an the bronchus for basal bouqet was obturated by necrotic tumorous tissue. The necrotic tissue was got by histopathological examination og biopsy, and in a bacteriological examination done with the broncho aspirate Streptococus pneumonia and Pseudomonas species were isolated. Still in doubt that there was a foreign body in the right-side of bronchial hemisystem the patient was sent to the higher medical institution wer he had already gone trough two unsuccessful attempts of the extraction of the foreign body by means of fiberbronchoscopy and thus a low right-side lobectomy had been done because of the changed slice by chronic inflammatiom and the extirpation of the foreign body (a chicken bone) had been done.
In the case of relapsing bronchopneumonia fiberbronchoscopy should be involved in the algorithm of examinations and the extraction of the verified foreign bodies should be left only to the most experienced bronchologist.
Key words: foreign body, bronchopneumonia, fiberbronchoscopy

UVOD

Učestalost aspiracije stranog tela u disajnim putevima kod odraslih je retka[1]. Strana tela mogu biti organskog i neorganskog porekla a najčešće su to: delovi hrane, kosti, delovi zubne proteze, pasulj, žitarice, kikiriki i slično. Uglavnom se nalaze kod retardiranih osoba, bolesnika sa neurološkim ispadima i alkoholičara. Strano telo bronha češće je desno nego levo zbog položaja i većeg lumena desnog glavnog bronha[2]. Prisustvo stranog tela dovodi do mehaničkih poremećaja u bronhijalnom zidu koji se manifestuju:
- inflamatornom reakcijom bronha sa sekundarnim zapaljenskim promenama u plućima,
- gnojnom infekcijom pluća i
- traumom zida bronha sa perforacijom u medijastinum, ezofagus i pleuru[3].

Smatra se da je prvu ekstrakciju stranog tela iz donjih disajnih puteva učinio Gustav Killian 1897. godine i tom prilikom je odstranio aspiriranu kost iz desnog glavnog bronha.

PRIKAZ SLUČAJA

Bolesnik J.S. u dobi od 53 godine, primljen na odelenje zbog recidivirajuće desnostrane bronhopneumonije. U poslednjih 6 meseci u više navrata lečen od desnostrane bronhopneumonije, uglavnom preko službe Opšte medicine. Na prijemu svestan, orijentisan, subfebrilan, pokretan, slabije osteomuskularne građe, bez periferne limfadenopatije, odaje utisak srednje teškog bolesnika.
 

 
 
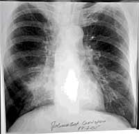
Slika 1.
 

Slika 2.
 
 
  Auskultatorno na plućima desno bazalno inspirijumski pukoti. Klinički nalaz na ostalim organskim sistemima uredan. Laboratorijske analize: SE 50/, Hb 109, Le 16,0. Vrednosti osnovnih biohemijskih analiza (glikemia, urea, kreatinin, AST, ALT, LDH, bilirubin) kao i nalaz u urinu u granicama referentnih vrednosti. RTG pluća i srca: bronhopneumonična senka desno parakardijalno (Slika broj 1.). Bakteriološkim pregledom sputuma nisu izolovane patogene bakterije. Citološkim pregledom sputuma nisu viđene maligne ćelije. Direknom baciloskopijom iz sputuma nisu viđeni ARB, a Löw kulture su negativne. Spirogram: restrikcijske smetnje ventilacije lakšeg stepena. EHO gornjeg abdomena: nalaz uredan. Perfuziona scintigrafija pluća sa 99 mTc - MAA: perfuzioni defekt cele donje polovine desnog pluća (Slika broj 2.).

CT grudnog koša: kalcifikat u predelu desnog hilusa i destrukcija desnog donjeg režnja (Slika broj 3. i 4.). Učinjenom fiberbronhoskopijom uočena je hiperemija u završnom delu intermedijernog bronha a bronh za bazalni buket je opturiran nekrotičnom tumorskom masom. Histopatološkim pregledom biopsija dobijeno je nekrotično tkivo a bakteriološkim pregledom iz aspirata bronha izolovani su Streptococus pneumoniae i Pseudomonas species. Citološkim pregledom u aspiratu bronha nisu viđene maligne ćelije. Direktnom baciloskopijom u aspiratu bronha nisu viđeni ARB a Löw kultura negativna
Pod sumnjom na strano telo u desnom bronhijalnom hemisistemu bolesnik je upućen u višu medicinsku ustanovu - Institut za plućne bolesti i tuberkulozu Kliničkog centra Srbije, Beograd, gde je u 2 navrata fiberbronhoskopom bezuspešno pokušana ekstrakcija stranog tela te je učinjena desna donja lobektomija zbog hroničnim zapalenjem izmenjenog režnja i ekstirpacija stranog tela (pileća kost). Postoperativni tok protekao uredno (Slika broj 5.). Nekoliko meseci posle intervencije bolesnik bez tegoba od strane respiratornog trakta. Ono što treba posebno izdvojiti je da kod pacijenta ne postoji sećanje na trenutak aspiracije stranog tela.
 
 
 
Slika 3.
 

Slika 4.
 
 
 
Slika 5.
 
DISKUSIJA

Jedna od komplikacija stranog tela u disajnim putevima je bronhopneumonija[1], potom bronhiektazije, plućni apsces, gangrena pluća, akutni supurativni medijastinitis a sve navedene komplikacije nastaju na terenu stagnacije sekreta i sledstvene, najčešće bakterijske infekcije.
Hronično strano telo je obično prekriveno obiljem upalnih granulacija koje mogu biti na površini nekrotične i tako simulirati karcinom[4], te je u slučaju dobijanja nereprezentativnog nalaza posle biopsije potrebno ponoviti bronhoskopiju. Zbog mogućih komplikacija, strana tela se ekstrahuju u bronhološkim odsecima pulmoloških ustanova i predstavljaju jedan od najtežih zadataka u bronhologiji a često uslovljavaju i torakohirurški zahvat [5].
 
  ZAKLJUČAK

Kod recidivirajućih bronhopneumonija u algoritam ispitivanja treba uključiti i fiberbronhoskopiju a ekstrakciju verifikovanih stranih tela prepustiti najiskusnijim bronholozima.

LITERATURA

  1. Petrović B. Značaj stranih tela u donjim disajnim putevima u nastanku opstruktivne bolesti vazdušnih puteva.Acta Medica Medianae 2004, vol.13, 2: 65-67
  2. Velisavljev M, Korać D, Juretić M. Klinička pedijatrija, drugo izdanje, 1988, 508
  3. Danilović V. Plučne bolesti u Malenić S: Bronhoskopija. Beograd-Zagreb, Medicinska knjiga; 1988, 169
  4. Uvod u tehniku fiberbronhoskopije, skripta, Golnik, drugo izdanje, 1988, 85
  5. Sekulić S. Plućne bolesti u Mandarić D: Bronhoskopija. Beograd. Elit medica 2000, 206-207

Adresa autora:
Goran Stanković
Branka Ćopića 13, 19000 Zaječar, SCG
019/423-430
E-mail: stefance@verat.net

 
  [ Home ] [ Program ] Radovi ] Indeks autora ] [ Mapa ]  

Timočki medicinski glasnik, Zdravstveni centar Zaječar
Rasadnička bb, 19000 Zaječar, Srbija
E-mail: vemil@open.telekom.rs

  Infotrend Crea(c)tive Design